|
Methodological Issues in EEG-correlated
Functional MRI Experiments
L. Lemieuxa, P.J. Allenb, K. Krakowa, M.R. Symmsa, and D.R. Fisha,b
aEpilepsy Research Group, Department of Clinical Neurology, Institute of Neurology,
University College London, 33 Queen Square, London WC1N 3BG, U.K.
bDepartment of Clinical Neurophysiology, National Hospital for Neurology and Neurosurgery,
University College London Hospitals, Queen Square, London WC1N 3BG, U.K.
Abstract.
The acquisition of functional MRI data in conjunction with the recording of EEG inside the scanner is a new
technique that offers the possibility of combining the excellent time resolution of EEG and the spatial resolution
of MRI. Three practical considerations are of immediate concern for the acquisition of EEG-correlated functional
MR images. These are patient safety, EEG quality and image quality. We review the interactions that arise from
the introduction of the EEG recording equipment inside the MR scanner and their consequence for patient safety,
EEG quality and image quality. Preventive and corrective measures are then described.
1. Introduction
EEG-correlated functional MRI (EEG/fMRI) is a general term that refers to fMRI experiments with the recording
of EEG inside the MR scanner. EEG-triggered fMRI is a specific type of EEG/fMRI experiments in which fMRI
acquisitions are triggered after spontaneous EEG events.
EEG/fMRI experiments offer the potential to localize the generators of scalp EEG events using a direct measurement
of physiological activity, namely fMRI, as opposed to relying solely on modelling techniques. Several studies have
applied EEG-triggered fMRI to epilepsy patients and have shown the potential of this technique to identify focal
BOLD-signal increases associated with interictal epileptiform discharges [1,2,3]. Until now the wider application
has been limited mainly by problems due to safety concerns and compatibility problems of EEG and MRI. We review
the important practical issues of patient safety, EEG quality, and MR image artifacts during EEG/fMRI.
2. Patient Safety Issues
To the medical physicist, introducing wires directly connected to the head into the complex and intense electromagnetic
environment of a MR scanner should trigger >alarm signals=. The potential health hazards in EEG/fMRI, or more generally EEG/MRI,
experiments can be classified into two categories: first, the risks associated with the interactions between the
patient, the EEG leads and the MRI scanner=s electromagnetic
fields; second, the risks associated with the handling of patients and the EEG recording equipment in the MR environment.
We will concentrate mainly on the former; see [4] for a more general discussion of safety issues in MRI. While
it is possible that EEG recording equipment will become fully integrated into MR scanners in the future, at present
EEG/MRI remains an uncommon procedure and therefore it is crucial to ensure that all EEG equipment introduced in
the vicinity of the MR scanner should be tested for MR-compatibility [4,5,6] and a specific EEG/MRI patient and
equipment handling protocol be devised.
There are three types of electromagnetic fields used in a MR imager that can lead to potential safety hazards:
the main static magnetic field, the time-varying magnetic gradient fields, which have different orientations and
operate at ~ 1 kHz; and the radio-frequency (RF) pulsed field generated by the headcoil which is homogeneous in
the central region of the headcoil and operates at 42.6 MHz/T. MR headcoils are designed to maximise the
RF energy which is transmitted to the body via the magnetic field and minimise the electric contribution [8,9].
Nonetheless, the electric component can be a potential health hazard when wires are placed in the vicinity of the
RF transmitting coil [10,11].
1.1 Conducting Loops and Other Mechanisms
Low-impedance conduction through the patient represents a potential hazard as currents may be induced in loops
placed in the time-varying gradients and RF fields, and due to body movement in the static field. In EEG/MRI, conducting
loops will inevitably be present in order to measure electrical potentials on the head. Although these normally
have a high impedance (due to the EEG amplifiers) low-impedance loops may form as follows: exposed lead in contact
with the patient; two leads in direct electrical contact; a single lead bending on itself and current being able
to flow through the insulation at RF frequencies; and failure of the EEG pre-amplifier circuit. Most of the above
represent single-fault conditions. However, pre-amplification circuits which have a low-pass filter at the >front end= could
also provide relatively low-impedance in the RF bandwidth. Similarly, a conducting loop could be formed due to
the capacitance between parallel leads, with the induced current flowing through the patient. Currents in the leads
may cause excessive heating of current-limiting resistors, and must therefore be investigated. Heating due to eddy
currents induced within the electrodes and other conducting media in contact with the patient must also be assessed
[12,13,14]. Our results for standard electrodes and gel revealed negligible heating, even when using sequences
with high RF output [7].
1.2 Specific Health Risks and Relevant Official Safety Guidelines
Whereas currents are invariably induced in the body in the course of normal MR imaging, resulting in a certain
amount of heating (which is limited to specific levels under current safety regulations), conducting loops provide
a concentration of current in metallic components and therefore a high current density in the adjacent tissue.
Referred to as 'contact currents' ,
these represent a well documented health risk [15] and can result in ulcers (~0Hz) [16], electric shock or stimulation
(<100 kHz) and heating (>100 kHz) [17,18].
To date, there are no specific official safety guidelines for EEG/MRI. However, relevant general guidelines
for physiological monitoring (mainly derived from experience with ECG monitoring inside MR scanners) have been
published [4,19,20]. For ECG/MRI, the main risk is that of RF burns at the points of contact between the ECG leads
and the patient [19,20]. Therefore, it is recommended to minimize loops, avoid wires from crossing each other and
limit currents by using higher-resistance leads. As the amplitude of EEG signal is approximately two orders of
magnitude lower than ECG, such leads are likely to give significant degradation of the EEG signal, and therefore
guidelines specific to EEG/MRI are required.
Safety guidelines and investigative work which address the same basic physical interactions as described above
can be used to establish safety limits: 1) recommendations on maximum contact currents by the National Radiological
Protection Board, UK [15]; 2) safety guidelines on the use of electrical equipment from the International Electrotechnical
Committee "Medical electrical equipment: specification for general safety requirements"
(IEC601:1) [21]; 3) published research on RF-burn hazard in animals [22]. In our own study of EEG/MRI safety
issues, we have chosen the lowest value across all standards and guidelines [7] (all are RMS): 0.01 mA in the normal
operating mode (NOM) and 0.05 mA for the single-fault condition (SFC) for DC; 0.1 mA (NOM) and 0.5 mA (SFC) at
low frequency (~1 kHz); and 10 mA (NOM and SFC) for RF.
Heating of objects in sustained contact with the body must not exceed a temperature of 41 °C
[22].
1.3 Estimates of Induced Voltages
Table I is a summary of the induced voltages and value of current-limiting resistor required for the switching
gradients, RF pulses and loop movement in the static field taken separately. These are obtained from the application
of Faraday's induction law [23] and for a GE Signa 1.5 T Echospeed
(GE Medical Systems, Milwaukee, USA). The details of the derivation of the formulas and calculation of the voltage
and resistor values can be found in [7]. In these calculations, we used the concept of a worst case low
impedance loop with an area of 400 cm2. For our the relevant parameter values are: smax
= 120 T m-1 s-1; the length of the headcoil is 0.4 m. The loading function of the body weight
H(w) was obtained from our scanner=s manufacturer.
Our measurements have shown that K = 1. In order to assess a worst
case, for RF we take the example of a fast spin-echo sequence with magnetization transfer contrast, with a SARavg
value of 0.06 W/kg, which is near the allowed maximum.
TABLE I. Formulas for induced EMF's, maximum voltage
values for 1.5T Signa EchoSpeed and minimum current-limiting resistor value that ensures safety with regards to
current and heating.
|
Mechanism
|
Induced EMF
|
max(VRMS, Signa EchoSpeed 1.5T)
(Volt)
|
min(Rsafe)
(©)
|
|
Gradient switching
|

|
1.66
|
11.7
|
|
RF pulses |

|
53.0
|
11.9H103
|
|
Body movement m |

|
0.2
|
0.17
|
A: loop area;
smax: maximum gradient slew rate;
z: distance from gradient coil isocentre;
É0: Larmor frequency;
B0: main field magnitude;
K: geometric gain factor for loop position in the head coil and RF B1-field
inhomogeneity;
H(w): empirical function of the subject=s body weight;
SARavg: average whole-body Specific Absorption Rate.
The values for the resistor that ensures patient safety must take into account the heating of the resistor that
may arise when the maximum allowed current flows through it. Heat dissipation in the current-limiting resistors
must be limited such that the temperature increase is less than 20 °C
and therefore:

where Rth is the thermal resistance (EC/Watt) [7].
In table I, we have used a specific type of resistor (2-Watt
carbon-composition resistor, type 101-4, Vitrohm GmbH, Germany), for which Rth is 85. Therefore,
the minimum value of resistance that ensures that both the maximum allowable current at any given frequency and
the resistor temperature increase are not exceeded is 11.9k©. This method has been used in all our EEG/fMRI
experiments (approximately 60) and no adverse effects have been observed or reported by the subjects. Furthermore,
no visually identifiable difference in background noise was apparent in the EEG, demonstrating that this value
of resistance can be used without compromising EEG quality.
Higher Field Strengths
The equations given above can be used to obtain theoretical estimates of the induced voltages for a range of
main and gradient field slew rates. However, factors such as RF coil transmission homogeneity and the gradient
switching waveform should be considered when trying to implement EEG/fMRI in a different scanner. In certain cases
it may be possible to adapt the above equations to the specific parameters of the new scanner, for example in the
case of a different gradient switching waveform, whereas in other cases new experimental work may be required.
For RF-induced voltages, the general form of the equation in Table I should apply to any scanner, however the exact
form of the factors K and H(w) may vary.
2. EEG Quality
Currently, degradation of EEG quality is a limiting factor for many applications of EEG/fMRI. Here we review
the basic principles of the generation of the artifacts, review a study of their magnitude and spatial distribution
and discuss means of limiting them.
Artifacts in the EEG can be generated as a result of two mechanisms: a change in the magnetic flux through a
loop will induce an electromotive force in the loop and movement of blood normal to a magnetic field leads to induced
potentials [24]. As a general rule, it is advised to twist electrode leads together from the subject=s
head to the amplifier inputs (to minimise inter-electrode lead loops) and to fix the leads securely to a stationary
surface (to minimise lead movement) in order to minimize artifacts due to bulk movement of the subject and/or the
EEG leads.
2.1 Image Acquisition Artifact
The changing magnetic fields applied during image acquisition may induce emfs in the electrode leads and the
subject's head. These emfs can be of large amplitude and are
mainly generated by the switching gradients. Their impact depends on the EEG/fMRI experiment paradigm used. For
EEG-triggered fMRI, providing the images are acquired in a brief period, this artifact does not present a significant
problem [3]. For simultaneous EEG/fMRI, this artifact can be more significant.
No method for removing the image acquisition artifact from EEG recordings has been reported yet. Although low-pass
filtering before the amplifier front-end can reduce effectively the contribution due to RF interference and amplifier
non-linearity for certain imaging sequences [25], overlap of the EEG and gradient interference spectra suggests
that linear filtering alone will not remove this artifact without significant distortion of the EEG waveform. Laudon
et al. have reported a method for minimizing this artifact in ECG recordings [25]. The amount of artifact reduction
reported is unlikely to improve the usefulness of multi-channel EEG recordings sufficiently. Kreger and Giordano
have described an adaptive filtering technique for removing this artifact from ECG signals that may provide a useful
approach for multi-channel EEG [26].
2.2 Pulse Artifact
Movement of the subject's head and electrode leads may alter
the area normal to the static field of a loop between electrode leads, giving an induced emf in the leads. Other
movements such as swallowing, talking or head turning cause gross artifacts that are amplified inside the scanner
(Fig. 1). These may mimic epileptiform activity, although recording from a movement detector can assist in differentiating
these [27]. In contrast, small body movements due to pulse and the blood flow effect may produce a pulse artifact
which is a more significant problem as it may be widespread on the scalp. This problem has been reported by different
centres, using different EEG recording equipment [27,28,29,30].
The amplitude of the pulse artifact for bipolar derivations in 6 subjects was measured in a 1.5 T scanner. We
found that the pulse artifact was largest in channels with frontal-polar or fronto-central electrodes and showed
large intra- and inter-individual variations in amplitude [31].
Hence, with the exception of large amplitude (>200 ¼V) frontal EEG events or lower amplitude events
in the posterior/temporal regions, reliable EEG event detection is difficult in many subjects unless a method for
removing the pulse artifact is used. In addition, the amplitude of pulse artifact is directly related to B0
and hence pulse artifact for scanners with higher B0 will present a greater problem.
We have developed an on-line pulse artifact removal system that subtracts an on-going average of the artifact
waveform for each EEG channel (see figure 1) [31]. This method was evaluated in 6 subjects using spectral analysis
and by expert EEG readers, showing a dramatic improvement in EEG quality [31]. We have now used this system in
approximately 60 EEG-triggered fMRI studies and adequate quality EEG was obtained in all cases (see figure 2).

Figure 1. Schematic of the on-line pulse artifact subtraction scheme. A running average of the
artifact, calculated within a running window centered on the QRS complexes detected in the ECG signal, is subtracted
from the current EEG signal. See [31] for more details.
| No Pulse Artifact Subtraction |
With Pulse Artifact Subtraction |
 |
 |
Figure 2. Illustration of the pulse artifact and the result of subtraction. The left-hand side
shows simulated EEG traces obtained by adding two segments of EEG: one recorded inside the MRI scanner on a normal
subject containing the pulse artifact and one segment containging a spike recorded on a patient. The traces on
the right show the result of pulse artifact subtraction.
3. Image Quality
EEG recording inside the MR scanner can degrade MR image quality. The effects of EEG-recording equipment on
the MR image quality have been addressed only by a few studies [28,29,32]. Two main mechanisms have been identified
whereby EEG recording can compromise MR image quality: first, local signal drop-outs and geometric distortions
from EEG electrode assemblies due to their magnetic susceptibility and the possible presence of eddy currents;
second, increased noise due to electromagnetic radiation emitted by the EEG recording equipment.
3.1 Local Image Artifacts
In our system, the EEG electrode assembly consists of a standard gold EEG electrode, electrode adhesive, conducting
gel and wire, with the addition of a current-limiting resistor soldered between the electrode and wire. Each of
those components can cause artifacts due to magnetic susceptibility effects. To quantify these artifacts, we placed
different components of EEG electrode assemblies on a spherical phantom and measured the maximum extent of the
artifact from the surface of the object. We found that all components cause local artifacts and that there were
large differences in the extent of the drop out. In some cases the artifact extended beyond 7.5mm inside the phantom,
which is the average depth of the cortex from the scalp [32].
Based on the results of our experiments electrode assemblies comprising of gold electrodes, cermet film resistors,
heat shrink insulation, and copper wire would seem to give acceptable artifact and ease of use. In volunteer experiments,
these electrode assemblies led to artifacts clearly smaller than the minimum scalp-cortex distance (Fig. 3).

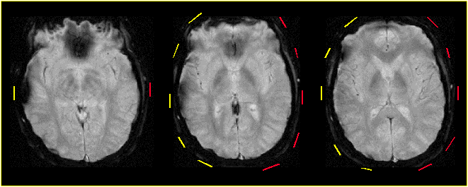
Figure 3. High resolution EPI of a subject with two types of EEG electrode assemblies applied
on the scalp. On the right side of the head, non-optimized electrode assemblies (silver/silver chloride electrodes
and carbon composition resistor; position shown in yellow) caused artifacts intruding into the cortex. Optimized
electrode assemblies (gold electrodes, cermet film resistors; position shown in red) used on equivalent positions
on the left side of the head did not compromise the cortical signal.
3.2 Image Noise Due to Electromagnetic Radiation from the EEG Recording Electronics
With regard to electromagnetic noise radiated from EEG equipment we observed significant coherent noise in the
images. This is presumably due to broadband RF signals generated by fast switching signals in the EEG digitising
circuit, containing a component in the frequency range detected by the receiver chain of the MRI scanner. This
noise is likely to vary between specific devices, the location of the device with respect to the headcoil and the
characteristics of the RF receive chain of the imager (frequency, bandwidth, etc). By encasing the EEG equipment
inside an appropriate shielding box and fitting RF filters to all electrical connections to the equipment, the
noise disappeared completely [29,32].
4. Conclusions
We have seen that the introduction of EEG recording equipment into the complex environment of the MR scanner
gives rise to a number of interactions between the two systems and the patient. In particular, we have shown that
large currents can be induced in conductors in contact with the patient and that these represent a potential health
hazard. To this effect we have described a simple modification to the EEG recording system that should ensure patient
safety. These interactions can degrade the quality of the EEG and image data by introducing artifacts. Means of
avoiding or removing
these artifacts have been described. We have now completed more than 65 EEG/fMRI studies successfully using
the safety and corrective measures recommended above.
References
[1] Warach S, Ives JR, Schlaug G, Patel MR, Darby DG, Thangaraj V, Edelman RR, Schomer DL. EEG-triggered echo-planar
functional MRI in epilepsy. Neurology 1996;47:89-93.
[2] Seeck M, Lazeyras F, Michel CM, Blanke O, Gericke CA, Ives J, Delavelle J, Golay X, Haenggeli CA, de Tribolte
N, Landis T. Non-invasive epileptic focus localization using EEG-triggered functional MRI and electromagnetic tomography.
EEG Clin Neurophys 1998;106:508-512.
[3] Krakow K, Woermann FG, Symms MR, Allen PJ, Lemieux L, Barker GJ, Duncan JS, 	Fish DR. EEG-triggered
functional MRI of interictal epileptiform activity in patients with partial seizures. Brain (in press).
[4] Shellock FG, Kanal E. Magnetic resonance: bioeffects, safety, and patient management. Philadelphia: Lippincott-Raven,
1996.
[5] Holshouser BA,Hinshaw Jr DB, Shellock FG. Sedation, anaesthesia, and physiologic monitoring during MR imaging:
ev5aluation of procedures and equipment. J Magn Reson Imaging 1993;3:553-558.
[6] von Smekal A, Seelos KC, Kuper CR, Reiser M. Patient monitoring and safety during MRI examinations. Eur Radiol
1995;5:302-305.
[7] Lemieux L, Allen PJ, Franconi F, Symms MR, Fish DR. Recording of EEG during fMRI experiments: Patient Safety.
Mag Res Med 1997;38:943-952.
[8] Chen CN, Hoult DI. Biomedical Magnetic Resonance Technology. Bristol: Adam Hilger, 1989.
[9] Hayes CE, Edelstein WA, Schenck JF, Mueller OM, Ash M. An efficient, highly homogeneous radiofrequency coil
for whole-body NMR imaging at 1.5T. J Mag Res.1985; 63:622-628.
[10] Hofman MBM, de Cock CC, van der Linden JC, van Rossum AC, Visser FC, Sprenger M, Westerhof N. Transesophageal
cardiac pacing during magnetic resonance imaging: feasibility and safety considerations. Magn Reson Med 1996;35:413-422.
[11] Konings MK, Bakker CJG. Intolerable heating of intravascular guidewires by resonating RF waves. In: Workshop
on new insights into safety and compatibility issues affecting in vivo MR, ISMRM, Washington, 1998.
[12] Roth BJ, Pascual Leone A, Cohen LG, Hallett M. The heating of metal electrodes during rapid-rate magnetic stimulation:
a possible safety hazard. EEG Clin Neurophysiol 1992;85:116-123.
[13] Duckwiler GR, Levesque M, Wilson CL, Behnke E, Babb TL, Lufkin R. Imaging of MR-compatible intracerebral depth
electrodes. Am J Neuroradiol 1990;11:353-354.
[14] Lufkin R, Jordan S, Lylyck P, Vinuela F. MR imaging with topographic EEG electrodes in place. Am J Neuroradiol
1988;9:953-954.
[15] National Radiological Protection Board. Restrictions on Exposure to Static and Time-varying Electromagnetic
Fields. National Radiological Protection Board (UK), 1995.
[16] Smallwood RH, Barker AT, Brydon J, Pay DA, Dowd WJO. Hospital Physicists= Association Topic Group Report Report
37 - Safe Design and Construction of Electromedical Equipment. The Institute of Physical Sciences in Medicine,
UK, 1983.
[17] National Radiological Protection Board. Statement on the Clinical Magnetic Resonance Diagnostic Procedures
- Documents of the NRPB. National Radiological Protection Board (UK),vol. 2(1);1991.
[18] Schaefer DJ, Bioeffects of MRI and Patient Safety. In: Bronskill MJ, Sprawls P, eds. The Physics of MRI - 1992
AAPM Summer School Proceedings. Woodbury, New York: AAPM, 1993.
[19] Shellock FG, Slimp GL. Severe burn of the finger caused by using a pulse oximeter during MR imaging [letter] .
Am J Roentgenol 1989;153:1105.
[20] Brown TR, Goldstein B, Little J. Severe burns resulting from magnetic resonance imaging with cardiopulmonary
monitoring. Risks and relevant safety precautions. Am J Phys Med Rehabil 1993;72:166-167.
[1] International Electrotechnical Commission. IEC601-1: Safety of Medical Electrical Equipment, Part 1 General
Requirements. International Electrotechnical Commission, Geneva, Switzerland, 1988.
[21] Brown BH, Johnson SG, Betts RP, Henry L. Burns thresholds to radio frequency leakage currents from surgical
diathermy equipment. J Med Eng Technol 1977;1:277-281.
[22] Lorrain P, Corson DR. Electromagnetic Fields and Waves. San Francisco: W.H. Freeman and Company, 1970.
[23] Tenforde TS, Gaffey CT, Moyer BR, Budinger TF. Cardiovascular alterations in Macaca monkeys exposed to stationary
magnetic fields: experimental observations and theoretical analysis. Bioelectromagnetics 1983;4:1-9.
[24] Laudon MK, Webster JG, Frayne R, Grist TM. Minimizing Interference from Magnetic Resonance imagers during Electrocardiography.
IEEE trans. on Biomedical Engineering 1998; 45(2):160-164.
[25] Kreger KS, Giordano CR. Biopotential Adaptive filtering in an MR Environment. Abstracts SMRM 11th Annual Scientific
Meeting.Vol. 1,1992; 661.
[26] Hill RA, Chiappa KH, Huang-Hellinger F, Jenkins BG. EEG during MR imaging: differentiation of movement artifact
from paroxysmal cortical activity. Neurology 1995;45:1942-1943.
[27] Ives JR, Warach S, Schmitt F, Edelman RR, Schomer DL. Monitoring the patient=s EEG during echo planar MRI.
EEG Clin. Neurophysiol 1993;87:417-420.
[28] Huang-Hellinger F, Breiter HC, McCormack G, Cohen MS, Kwong KK, Sutton JP, Savoy RL, Weisskoff RM, Davis TL,
Baker JR, Belliveau JW, Rosen BR. Simultaneous functional magnetic resonance imaging and electrophysiological recording.
Human Brain Mapping 1995;3:13-23.
[29] Felblinger J, Müri RM, Rösler KM, Jung B, Hess CW, Boesch C. EEG and visually evoked potential recordings
in the MR environment. Proc Int Soc Magn Res in Medicine 1997;3:1653.
[30] Allen PJ, Polizzi G, Krakow K, Fish DR, Lemieux L. Identification of EEG events in the MR scanner: the problem
of pulse artifact and a methos for its subtraction. Neuroimage 1998;8:229-239.
[31] Krakow K, Allen PJ, Symms MR, Lemieux L, Fish DR. The effect of EEG recording on functional MR image quality.
Proc Int Soc Magn Res in Medicine 1999 (in press).
|