IJBEM logo
International Journal of Bioelectromagnetism
Vol. 5, No. 1, pp. 109-113, 2003.

previous paper

next paper

www.ijbem.org

Magnetocardiography in Cardiac Transplantation:
A Case Study

Dharsh Fernando, Jon Resar

Division of Cardiology, The Johns Hopkins Hospital, Baltimore, MD, USA

Correspondence: D Fernando, Division of Cardiology, Johns Hopkins Hospital, 600 N.Wolfe St. Baltimore, MD 21209, USA.
E-mail: dfernan1@jhmi.edu


Abstract. Magnetocardiography (MCG) has been under investigation as a clinical tool for more than 25 years. Cardiac transplant rejection may lead to subtle changes in the electrophysiological properties of the myocardium, generating abnormalities that may be able to be detected by MCG. We aim to investigate the clinical utility of the MCG in detecting cardiac transplant rejection. Endomyocardial biopsy (EMB) and coronary angiography (CA) have been the primary investigations for detecting rejection. We present the first case report of a 36-channel MCG after orthotopic cardiac transplantation and compare the MCG to concurrently obtained invasive investigations of EMB and CA. An MCG was performed using the CMI MCG model 2409 which enabled MCG acquisition in an unshielded environment utilising SQUID (Superconducting Quantum Interference Device) technology. CA and EMB were performed using standard techniques. Findings of the MCG were compared to the EMB and CA data. The CA showed no signs of cardiac allograft arteriopathy. The EMB showed only mild signs of rejection (Type IA cellular rejection). The MCG was normal. In this single case report, the normal MCG finding was consistent with the invasive investigation findings of no significant allograft arteriopathy on coronary angiography and only mild rejection on EMB. The MCG may be a useful non-invasive diagnostic tool to monitor patients post cardiac transplantation for the detection cellular and humoral rejection.

Keywords: Magnetocardiography; Cardiac Transplant Rejection

1.    Introduction

Magnetocardiography (MCG) is a technique that allows the non-invasive measurement and visualization of the cardiac magnetic field generated by cardiac electrical activity. MCG has been under investigation as a clinical tool for more than 25 years but clinical research had been limited by the need for magnetically shielded rooms. The current generation of magnetometers utilizes SQUID technology to enable MCG measurements in an unshielded environment. Although MCG is not yet recognized as a clinical tool, its application to various cardiac conditions is currently under investigation. Cardiac transplant rejection has traditionally been monitored by the invasive investigations of serial cardiac endomyocardial biopsy (EMB) to look for cellular rejection and coronary angiography (CA) to look for cardiac allograft arteriopathy.

Rejection may lead to subtle changes in the electrophysiological properties of the myocardium generating abnormalities that may be able to be detected by MCG. We present the first case report of a 36 channel MCG after orthotopic cardiac transplantation and compare the MCG to concurrently obtained invasive investigations of EMB and CA.

2.    Rejection in Cardiac Transplantation

Rejection has been classified in cardiac transplantation into three categories.

Hyperacute Rejection. This is usually of sudden onset. It is often fatal. This is a type of vascular rejection – with intense polymorhonuclear cell (PMN) infiltrate and platelet microthrombi. It is treated with cyclophosphamide and plasmapharesis. It is less common now due to recipient screening for anti-donor Ab’s. Often a left ventricular assist device(LVAD) and retransplantation is needed.

Acute Cellular Rejection (T Cell mediated). Accumulation of lymphocytes in graft interstitium or perivascular tissue. In the more severe forms PMN’s and cardiac myocyte necrosis. It is treated with steroids, cyclosporin, tacrolimus, azathioprine or mycophenolate mofetil (MMF). It can be focal or diffuse. Diagnosis is made on the basis of endomyocardial biopsy. The frequency of EMB is governed by rejection episodes and severity of cellular rejection. [1]

Cardiac Allograft Vasculopathy (Humoral rejection). Other names for this include accelerated graft arteriosclerosis(AGA) and chronic rejection. In this type of rejection there is vascular inflammation with binding of IgG and or IgM and compliment. This produces diffuse and concentric stenosis affecting the mid and distal epicardial coronary arteries more than the proximal vessel. It is often asymptomatic. [1] Non-invasive testing has thus far had poor sensitivity to detect transplant vasculopathy. Annual coronary angiography is recommended though AGA is underestimated angiographically. Intravascular ultrasound (IVUS) is more sensitive at detecting early AGA. Revascularization outcomes for AGA have been poor. [2]

3.    Magnetocardiography

Magnetocardiography (MCG) is the measurement of magnetic fields emitted by the human heart from small currents generated by electrically active cells of the heart muscle [3]. The measurement of these fields over the torso provides information which is complementary to that provided by electrocardiography (ECG), a useful and common diagnostic test in the detection of cardiac disease.

An overview about the status and the perspectives of MCG based on SQUID (Superconducting QUantum Interference Device) technology is given in [4].


Figure 1. The CMI magnetocardiograph is a SQUID-based device operating without the need of magnetically shielded rooms. An array of nine channels senses the heart magnetic field, threee additional channels are used for referencing and one channel for reference ECG. MCG data are acquired at 36 locations above the torso by making four sequential measurements. In each position the nine measure the cardiac magnetic field for 90 second using a sampling rate of 1000 Hz leading to 36 individual time series. The operation of the system is computer-controlled and largely automated. The acquired signals are processed by proprietary medical application software capable of filtering, averaging, electric/magnetic activity localization, heart current reconstruction, and derivation of diagnostic sources.

Typical MCG recordings, available as a time series, show similar morphological features as the ECG, such as QRS complex, P-, T-, and U-waves, but there are some fundamental differences. The MCG is more sensitive to tangential currents in the heart than the ECG, and it is also sensitive to vortex currents, which cannot be detected by the ECG [4]. In the normal heart, the main direction of the activation wavefront is radial, from endocardium to epicardium. For these reasons, MCG may show ischemia-induced deviations from the normal direction of depolarization and repolarization with better accuracy than the ECG. MCG is affected less by conductivity variations in the body (lungs, muscles, skin) than ECG [5]. In addition, because MCG is a fully non-contact method [4], the problems in the skin-electrode contact encountered in ECG are avoided [6]. Until recently, one of the more severe constraints that has hindered the implementation of MCG in practical clinical settings has been the need for measurements to be made within a magnetically shielded room [7]. However, recent advances in SQUID system technology such as improved noise suppression techniques, better field sensitivity and highly balanced gradiometer systems permits construction of a
SQUID device, which allows MCG measurements to be performed in a totally unshielded environment. Verification of the reliability and reproducibility of MCG measurements in typical hospital settings by collecting data from both healthy volunteers and patients with documented heart disease at several US hospitals has been performed using the CMI Magnetocardiograph Model 2409( see Figure 1). We postulate that the use of the multi-channel, unshielded MCG may provide useful data about the presence or absence of cellular rejection and cardiac allograft vasculopathy in the cardiac transplant population.

A convenient way to represent data from all 36 positions simultaneously in one instant of time is the transformation of the averaged time series into a two-dimensional color map [8]. Therefore, isolines are calculated using a cubic spline interpolation between the 36 points (see figure 2).

Figure 2.   Dipole magnetic field map. The colors represent areas of equal magnetic field strength, as defined in the vertical bar on the left side of the picture. Blue areas indicate negative values and red areas indicate positive. The point indicating the location of the maximal magnetic field is labelled “+” (“+ pole”), and the point indicating the location of the minimal magnetic field is labelled “-” (“- pole”).

The dipole map analysis is examined during the period of repolarisation from the early part of the T wave to the T wave peak (“analysis window”). The dipole angle a between the + pole and the – pole is determined as shown in figure 2.

Definition of an abnormal MCG. An MCG is considered to be abnormal when either one of the following four criteria is fulfilled within the analysis window ( Twave beginning to T wave peak):

1.   The dipole angle is –110° ³ a ³ 20° at any time.

2.   The dipole angle a between the + pole and the – pole changes by more than 45° in any 30msec interval.

3.   The dipole distance between the + pole and the – pole varies by more than 20mm in any 30msec interval.

4.   The ratio between the field strength of the + pole and the field strength of the – pole varies by more than 0.3 in any 30msec.

4.    Methods

Routine right heart catheterization, endomyocardial biopsy (EMB) of the right ventricle and coronary angiography (CA) were performed using standard techniques. IVUS was not performed. Coronary angiography, MCG, EMB and ECG were all read by an observer blind to the results of the other tests. MCG was performed using the CMI (CardioMag Imaging) Magnetocardiograph Model 2409 ( see figure 1).

A significant stenosis on CA was defined as a vessel with greater than 50% luminal stenosis. Cellular rejection was defined according to the International Society of Heart and Lung Transplantation (ISHLT) classification; from 0 ( no rejection) to IV ( diffuse PMN infiltrate with edema, hemorrhage and myocardial necrosis +/- vasculitis). The MCG was defined as abnormal based on a set of criteria described above. These criteria were derived from the study of patients shown to have no significant coronary arteries or cardiac pathology at cardiac catheterization.

5.    Case study – Cardiac Transplantation

We studied a 19 year old man who was admitted for routine annual surveillance coronary angiography and endomyocardial biopsy. The patient suffered from viral myocarditis with rapidly progressive congestive heart failure in December 1999. The transthoracic echocardiogram showed severe global LV and RV systolic dysfunction and an LVEF of 20%. The patient’s condition continued to deteriorate and the patient was treated with an LVAD as a bridge to cardiac transplantation. An orthotopic heart transplant was performed in March 2000. The patient was placed on immunosuppresive therapy with prednisone, cyclosporin, mycophenalate mofetil to prevent rejection after his cardiac transplantation.

The patient developed an episode of cellular rejection (grade III A) in May 2000 diagnosed on EMB and was treated with pulse doses of IV steroids, resulting in rapid resolution of symptoms. Serial monthly EMB for three months showed resolution of rejection to grade IA (mild). The patient is now stable in NYHA class I and undergoes surveillance EMB every three 3 months and annual coronary angiography.

6.    Results

6.1. Coronary Angiography Results

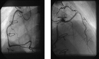
Figure 3.   Coronary Angiogram. The right coronary artery is shown in a 30 degrees RAO projection. The left coronary artery is shown in an RAO 25degresand Cranial 35 degrees projection.

The right coronary artery (RCA) is dominant and has no stenoses. The left coronary artery (LCA) has a long left main and some distal tapering of the LAD but no significant stenoses. The LCx was free of stenoses. There was aberrant origin of the LCA from the right coronary cusp. No evidence of transplant arteriopathy.

6.2. Magnetocardiography Results

Figure 4. Dipole maps taken during the analysis window from the early part of the T wave to the peak of the T wave. Figure 5. Individual dipole map. The anfle and distance between the dipoles and ratio of magnetic field strength are accessed for each of the maps in Figure 4 compared to the normal criteria.

The MCG study was normal according to the 4 criteria assessed. 1. Dipole Angle: –91°to–84°( Normal : –120°to+20°); 2. Change in Dipole Angle: 10.25° (Normal<45°); 3. Dipole Distance: 10mm (Normal <20mm) and Dipole Field Strength ratio: 0.29 ( Normal <0.30)

6.3. Endomyocardial Biopsy Results

Right heart catheterization and endomyocardial biopsy were performed. There was ISHLT grade 1A (mild) cellular rejection on endomyocardial biopsy. The immunofluorescence was positive for IgG and negative for compliment, IgM and IgA.

7.    Conclusions

In this first reported case of an MCG, endomyocardial biopsy and coronary angiography performed on the same day in a patient with a cardiac transplant, the coronary angiogram showed no significant stenoses (<50%), the EMB showed mild cellular rejection grade I A and the MCG was normal by the prespecified MCG criteria. In this single case report, the normal MCG finding was consistent with the invasive investigation findings of no significant allograft arteriopathy on coronary angiography and only mild rejection on EMB.

As more data is collected, either a new set of criteria may be able to be defined for normal MCGs in the cardiac transplant population who do not have evidence of allograft arteriopathy or significant cellular rejection. Alternatively, an individual transplant patient’s own “MCG signature” may be able to be followed over time detecting changes from baseline that may correlate with cellular rejection episodes or cardiac allograft arteriopathy. The MCG may prove to be a useful tool in the non-invasive surveillance of cardiac transplant patients for the development of cellular rejection and the later complication of cardiac allograft arteriopathy. Further data needs to be collected on the use of this promising non-invasive modality in the cardiac transplant population and further studies are needed.

References

[1] W.G. Cotts and Maryl R. Johnson, “The Challenge of Rejection and Cardiac Allograft Vasculopathy” Heart Failure Reviews, 6, 227-240, 2001.

[2] W.A. Baumgartner, B. Reitz, E.Kasper, and J.Theodore, “Transplant Rejection” chapter in Heart and Lung Transplantation 2nd edition 2002.

[3] G.M. Baule and R. McFee, "Detection of the magnetic field of the heart." Am. Heart J., 55, 95-96, (1963).

[4] H. Koch, “SQUID MCG: Status and Perspectives”, IEEE Trans. Appl. Supercond., vol. 11(1), pp. 49-59, 2001.

[5] P. Siltanen, “Magnetocardiography.” Chapter in MacFarlane P, eds: Comprehensive Electrocardiology Volume II. Pergamon Press, pp. 1405-1438, (1989).

[6] V. Kariniemi, J. Ahopelto, P.J. Karp, and T.E. Katila, "The fetal magnetocardiogram." J. Perinat. Med., 2, 214-216, (1974).

[7] D. Cohen, E.A. Edelsack and J.E. Zimmerman, "Magnetocardiograms taken inside a shielded room with a superconducting point-contact magnetometer."Appl. Phys. Lett.,16, 278-280, (1970).

[8] K. Sternickel, N. Tralshawala, A. Bakharev, N. Korsun, A. Braginski, P. Dworkin, E. Allen, P. Thomson, V. Nolan, R. Falk, J. Chen, J. Clarke: Unshielded measurements of cardiac electric activity using magnetocardiography. International Journal of Bioelectromagnetism 2(4):189-190 (2002)

previous paper table of contents next paper

© International Society for Bioelectromagnetism